二重埋没法とは
二重を作る方法は大きく分けて埋没法と切開法の2通りあります。
埋没法とは、希望の二重の線上でまぶたの皮膚側と裏側を糸で留める方法です。
埋没法は術後の腫れが少ない点が長所ですが、留めた糸が外れることがあるという欠点があります。
船橋中央クリニック・青山セレスクリニックの埋没法には、次の4通りがあります。
1 クイック埋没法(1点固定)
一番簡単な埋没法で、希望の二重のライン上を1点で留める方法です。
最も簡易的な埋没法ですが、二重のラインがきれいに現れなかったり、外れやすい場合があります。
(治療時間約5分・通院不要)
2 埋没法(2点固定)
希望の二重のライン上を2点で留める埋没法です。
2点固定の埋没法は1点固定に比べると二重のラインがきれいにできます。また、1点固定に比べると外れにくいのが2点固定の長所です。
船橋中央クリニック・青山セレスクリニックでは2点固定の埋没法が外れた場合、1年間の保証をしております。
3 埋没法マイクロカット法(2点固定)
皮膚の下の組織(皮下組織)に事前に切れ込みを入れ、そこを糸で留める埋没法です。
必要なところだけが強く縛りこまれるため、最も外れにくい船橋中央クリニック・青山セレスクリニック独自の埋没法です。
極めて外れにくいので、船橋中央クリニックでは埋没法マイクロカット法が万が一外れた場合、永久的に保証をしております。
(治療時間約10分・通院不要)
4 埋没法たるみ固定術(3点固定)
上まぶたにたるみがある場合は、埋没法ではなく、切開する治療(二重切開法あるいは、ブロウリフト)をおすすめします。
ただ、切開を希望されない場合は、埋没法でもたるみを固定して二重にすることは可能です。
埋没法たるみ固定は、希望の二重のライン上を3点で留める埋没法で、二重と同時にたるみを固定します。
切開する治療は「上まぶたのたるみ」をご参照ください。
5 脂肪除去(脱脂)
まぶたが腫れぼったい方は、まぶたの脂肪(眼窩脂肪)を一部取り除くことによりすっきりしたまぶたになります。
脂肪除去(脱脂)とは、この眼窩脂肪を除去する施術です。埋没法と一緒に行う場合は、二重のライン上を2mm程微小切開し、脂肪を取り除きます。
埋没法を行わない場合でも、脂肪だけ取り除くことはできます。微小切開なので、跡は残りません。
(治療時間埋没法と合わせて約20分・通院不要)
6 目が開きにくい方へ。切らない眼瞼下垂(がんけんかすい)治療はこちら
埋没法の長所と短所
長所
1. 埋没法の長所は、何よりも術後の腫れが少ない点です。術直後は腫れていますが、大泣きした後のようにまぶたが腫れている程度で、これも3日程度で引きます。
2. 切開しないことです。やはり切開することに抵抗がある方はたくさんいらっしゃいます。埋没法ではそのような方も簡単に二重ができます。
短所
1. 埋没法では留めた糸(埋没糸)が外れることがあります。埋没糸が外れると二重の線が薄くなったり、完全になくなってしまうことがあります。もちろん、埋没糸が外れなければ、一生二重のままです。また、船橋中央クリニック・青山セレスクリニック独自の埋没法マイクロカット法であれば、埋没糸が外れる可能性は極めて低いです(1%以下)
2. 埋没法は極端に幅が広い二重、たるみが大きいまぶたには向かないです。埋没糸が外れる可能性が高い上、少し不自然な二重になってしまうからです。幅がかなり広い二重、たるみが大きいまぶたには切開法をおすすめします。
二重埋没法の症例写真
-

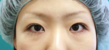
治療前
-

治療後
埋没法マイクロカット法 10万円(税別)
※治療後のむくみにより、一時的にご希望のラインより広くなります。
-

治療前
-

治療後
埋没法マイクロカット法 10万円(税別)
※治療後のむくみにより、一時的にご希望のラインより広くなります。
-

治療前
-

治療後
埋没法マイクロカット法 10万円(税別)
※治療後のむくみにより、一時的にご希望のラインより広くなります。
-

治療前
-

治療後
埋没法マイクロカット法 10万円(税別)
※治療後のむくみにより、一時的にご希望のラインより広くなります。
-

治療前
-

治療後
埋没法マイクロカット法 10万円(税別)
※治療後のむくみにより、一時的にご希望のラインより広くなります。
-

治療前
-

治療後
埋没法マイクロカット法+脂肪除去(脱脂)手術 20万円(税別)
※治療後のむくみにより、一時的にご希望のラインより広くなります。
-

治療前
-

治療後
埋没法マイクロカット法 10万円(税別)
※治療後のむくみにより、一時的にご希望のラインより広くなります。
-

治療前
-

治療後
埋没法マイクロカット法 10万円(税別)
※治療後のむくみにより、一時的にご希望のラインより広くなります。
-

治療前
-

治療後
埋没法マイクロカット法 10万円(税別)
※治療後のむくみにより、一時的にご希望のラインより広くなります。
-

治療前
-

治療後
埋没法マイクロカット法 10万円(税別)
※治療後のむくみにより、一時的にご希望のラインより広くなります。
-

治療前
-

治療後
埋没法マイクロカット法 10万円(税別)
※治療後のむくみにより、一時的にご希望のラインより広くなります。
二重埋没法の料金
| 二重埋没法(すべて税抜表示) | |
|---|---|
| クイック埋没法(1点固定) | 24,000円 |
| 埋没法(2点固定)1年保証 | 70,000円 |
| 埋没法マイクロカット法(2点固定)永久保証 | 100,000円 |
| 埋没法たるみ固定術(3点固定)永久保証 | 150,000円 |
| 二重+脱脂 永久保証 | 200,000円 |
Contents

千葉エリアで治療をご希望の方はこちら
〒273-0005
千葉県船橋市本町6-4-15
グラン大誠ビル 2F
責任者:元神賢太
最終学歴:H11年慶応義塾大学医学部卒業
勤務歴:H15年船橋中央クリニック開業
東京エリアで治療をご希望の方はこちら
〒107-0061
東京都港区北青山2-7-26
ランドワーク青山ビル7F
(旧ヒューリック外苑前ビル)
責任者:高林洋一
最終学歴:S43年慶応義塾大学医学部卒業
勤務歴:H28年青山セレスクリニック管理者






























