上まぶたのタルミをすっきりさせます!
ブロウリフト 35万円(税別)
※眉毛の下で切開しリフトする治療のため、眉下に7日間糸が付きます。
年齢とともに、上まぶたにはたるみが現れます。
特に上まぶたの目尻側のたるみが大きい場合が多いです。
上まぶたのたるみを取る方法は二重の切開法で上まぶたのたるみを切除する方法(全切開法)と眉の下を切開して上まぶたのたるみを切除する方法(ブロウリフト)があります。
全切開法(上まぶた たるみ取り手術)
希望の二重のライン上を切開し、その上のまぶたの皮膚のたるみを取り除き、二重を作る方法です。
必要に応じて、脂肪を取ります。術後7日前後で抜糸を行います。
(治療時間約30分・抜糸時通院必要)
-
当院で全切開法で
上まぶたのたるみ取り手術を受けた例(治療後)
自然な二重に仕上がりになります。
全切開法(上まぶた たるみ取り手術)の長所と短所
長所
二重を希望されている場合、全切開法では二重形成と同時に上まぶたのたるみが取り除けます。
短所
全切開法の治療後、腫れている期間が長い点です。
腫れがある程度落ち着くまで、2週間前後かかります。
完全に腫れが引き、希望の幅に落ち着くまで3ヶ月前後かかります。
ブロウリフト(上まぶた たるみ取り手術)
ブロウリフトとは眉毛のラインの下縁を切開し、上まぶたのたるみを切除する方法です。
上まぶたのたるみは取り除きたいけど、二重にしたくない場合、あまり手術前と印象を変えたくない場合に適しています。
元々二重だったのに、目尻側のたるみで二重が隠れてしまっている場合はブロウリフトで元々のラインが復元されます。
また、全切開法では、不自然な二重になりそうな場合は、ブロウリフトと埋没法の組み合わせで二重形成と上まぶたのたるみ切除を同時に行うこともあります。
術後、7日前後で抜糸を行います。
(治療時間約30分・抜糸時通院必要)
-
当院でブロウリフトで上まぶたのたるみ取り手術を受けた例(治療後)
傷跡も目立ちません。
ブロウリフトの長所と短所
長所
ブロウリフトの治療後の腫れが少ない点です。
術直後より腫れが小さく、抜糸をする頃(術後7日前後)にはほとんど腫れが引いています。
短所
手術で眉毛の下の皮膚を切除し、手術により眉毛と目の距離が縮まります。
このため、元々、目と眉毛が近い方には適していません。
当院のたるみ取り手術はここが違います!
経験豊富な医師が診察して、最もよい方法をご提案します。
切開手術を受けることに抵抗を感じる最も多い理由は、不自然な仕上がりになるという先入観を持っていることです。
切開手術でも経験豊富な医師が正しい方法を選択し、正しい手術を行えば不自然になりません。
当院では、経験豊富な医師が診察して、最もよい方法をご提案します。
傷跡が目立たず、自然な仕上がり!
ブロウリフトでも全切開法でも経験豊富な医師のみが手術を行いますので、傷跡はきれいで目立ちません。
また、不自然な二重にならないようにベストの治療方法を選択しますので、自然な仕上がりになります。ご安心ください!
上まぶたのたるみの症例写真
-

治療前
-

治療後
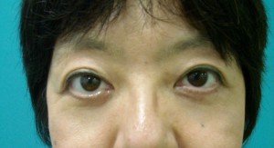
ブロウリフト 35万円(税別)
※眉毛の下で切開しリフトする治療のため、眉下に7日間糸が付きます。
-

治療前
-

治療後
ブロウリフト 35万円(税別)
※眉毛の下で切開しリフトする治療のため、眉下に7日間糸が付きます。
-

治療前
-

治療後
ブロウリフト 35万円(税別)
※眉毛の下で切開しリフトする治療のため、眉下に7日間糸が付きます。
-

治療前
-

治療後
全切開法による上まぶたのたるみ取り手術 35万円(税別)
※治療後の腫れにより、一時的にご希望のラインより広くなります。
上まぶたのたるみの料金
| 上まぶたのたるみ(すべて税抜表示) | |
|---|---|
| 全切開法たるみ取り手術 | 350,000円 |
| 全切開法たるみ取り+脂肪除去手術 | 400,000円 |
| ブロウリフト | 350,000円 |
| ブロウリフト+脂肪除去手術 | 400,000円 |
Contents

千葉エリアで治療をご希望の方はこちら
〒273-0005
千葉県船橋市本町6-4-15
グラン大誠ビル 2F
責任者:元神賢太
最終学歴:H11年慶応義塾大学医学部卒業
勤務歴:H15年船橋中央クリニック開業
東京エリアで治療をご希望の方はこちら
〒107-0061
東京都港区北青山2-7-26
ランドワーク青山ビル7F
(旧ヒューリック外苑前ビル)
責任者:高林洋一
最終学歴:S43年慶応義塾大学医学部卒業
勤務歴:H28年青山セレスクリニック管理者



























